Aquaculture for all
Finally a tariff you’ll enjoy: Get 30% off all yearly membership plans by entering code TFS30 at checkout.

Disease guideBacterial kidney disease (BKD)

What is it?

Bacterial kidney disease (BKD) is a chronic bacterial disease first reported in wild Atlantic salmon populations in the rivers Spey and Dee in Scotland in 1933. Subsequently BKD has been reported in both wild and farmed salmonid populations in North and South America, continental Europe and Japan. In Scotland the prevalence of BKD in trout and salmon farms is low.

Where and when might it occur?

Outbreaks can occur throughout the year, but generally accompany rising water temperatures in the spring. Infection can result in significant mortalities in both wild and farmed salmonids; nearly all age groups of fish can be affected, although the disease is rare in very young fish. Losses are generally chronic, occurring over an extended period.

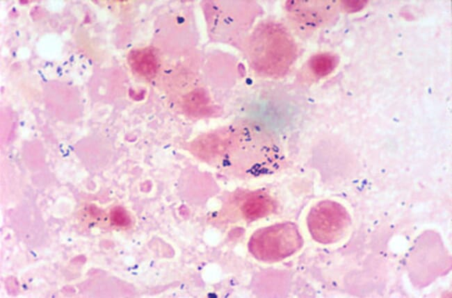
Diagnosis

The causative agent is a small, non-motile, Gram positive rod shaped bacterium Renibacterium salmoninarum that usually occurs in pairs referred to as diplobacilli.

The gross external pathology of BKD is variable and ranges from a complete lack of clinical signs to fish exhibiting protruding eyes (exophthalmia), darkening of the skin and haemorrhage at the base of the fins. The gills may appear pale and anaemic and internally there may be fluid accumulation in the abdominal cavity and enlargement of the kidney.

Tissue infected with bacterial kidney disease
Tissue infected with bacterial kidney disease

Microscopic examination of a tissue imprint from a rainbow trout showing the presence of purple staining Renibacterium salmoninarum

In some fish, cream or grey nodules may be present on the kidney. Similar nodules may be observed on other organs (liver, spleen and heart). There may also be enlargement of the spleen and kidney that may be covered by an opaque membrane.

A presumptive diagnosis of BKD can be made from the characteristic lesions and from imprints or histological sections of infected tissue by identifying Gram positive bacilli, particularly if they occur within the cells of the fish host.

On bacteriological media R. salmoninarum is slow-growing and samples collected from fish tissues under "field conditions" may become overgrown by other faster-growing micro-organisms. Culture of the organism is therefore difficult and confirmatory identification is supplemented by a number of immunodiagnostic assays including a fluorescent antibody test (FAT), enzyme linked immunosorbent assay (ELISA) and polymerase chain reaction (PCR).

Control

Bacterial kidney disease is a notifiable disease under the Diseases of Fish Acts 1937 and 1983 and is a List III disease under European Community Council Directive 91/67/EEC. In Great Britain, all fish farms holding salmon or trout are inspected at least once a year for BKD. Fish are examined visually for evidence of infection and suspect tissue samples are taken for testing in the laboratory.

Under Commission Decision 2004/453/EC the zone of Great Britain is approved for having a control and eradication programme for BKD. To maintain the control and eradication programme, 30 fish are sampled for BKD every second year from each farm holding salmonids.

Under this legislation zones cannot export to zones of equal or higher health status except from farms which become approved through an inspection and testing programme.

Farms which are confirmed as infected with BKD are controlled by movement restrictions and must enter into an eradication programme with a view to the controls being removed.

Transmission of BKD can be vertical via eggs or sperm, or horizontal by direct contact with infected fish or water. There are no licensed vaccines or antibiotic treatments for BKD, so the most effective method of control is prevention of movements of live fish. Eggs from infected farms are not permitted to be used as broodstock.

In addition, management strategies designed to control BKD include good hygiene, reducing stress, quarantine of infected stocks, culling of infected broodstock and/or total hatchery depopulation followed by disinfection.

Source: Fisheries Research Services

Crown copyright 2007

FRS is an agency of the Scottish Executive